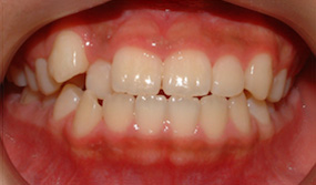
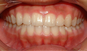
Why Choose Athens Orthodontic Center
At Athens orthodontic center our promise is simple: to deliver best-in-class, bespoke orthodontic care at every stage of your journey.
We understand that in today’s ever-evolving orthodontic landscape, you have many options — and we never take your trust for granted. That’s why we focus on making your experience with us not only effective, but also welcoming, personalized, and pleasant from the very first consultation to the final reveal of your new smile.
What Makes Us Different
Custom-Tailored Treatment Plans
Your smile is one of a kind!
Your treatment should be, too.
Comfort-Focused Approach
From ambiance to technology,
your comfort comes first.
Expertise Meets Innovation
We blend experience with the latest in orthodontic science
How We Help
Flexible, Affordable Payments
We believe everyone deserves a confident smile. That’s why we offer custom financing options tailored to your family’s budget — so great care stays within reach.
Short Wait Times
Your time is valuable. Our streamlined scheduling and efficient appointments help you spend less time in the chair and more time smiling.
Same-Day Treatment Starts
Ready to begin? We make it easy to start treatment on the same day as your free consultation — because your smile shouldn’t have to wait
The Doctors
Dr. Thomas Konstantinou
Dr. Nikolas Konstantinou
Testimonials
Lorem ipsum dolor sit amet, consectetur adipiscing elit. Nullam porttitor tortor turpis, vel semper massa hendrerit eu.
Lorem ipsum dolor sit amet, consectetur adipiscing elit. Nullam porttitor tortor turpis, vel semper massa hendrerit eu.
Lorem ipsum dolor sit amet, consectetur adipiscing elit. Nullam porttitor tortor turpis, vel semper massa hendrerit eu.
Lorem ipsum dolor sit amet, consectetur adipiscing elit. Nullam porttitor tortor turpis, vel semper massa hendrerit eu.
You got Options
Invisalign
Get the beautiful, confident smile you’ve always wanted with Invisalign® — the clear, comfortable, and virtually invisible alternative to metal braces.
No extra cost, Discreet & removable, Proven results
Clear Braces
Clear braces are less noticeable than metal braces, and the options we offer are comfortable and efficient.
Metal Braces
Our modern metal braces are lighter, less visible and more comfortable than ever before.
Sleep Apnea
Sleep apnea can have serious complications, but we can help you breathe again with a simple orthodontic appliance.